World-Class Care
Our Specialized Services
From preventive care to advanced surgery, we offer a comprehensive range of dental solutions backed by nearly a century of trust and expertise.

Orthodontics Braces

Dental Implants

Crown & Bridges

Invisible Braces
.png)
Root Canal Treatment

Major & Minor Oral Surgery

Facial Trauma

Instructions after Extraction

Laser Dentistry

Wisdom Tooth Removal

Kids Dentistry

Smile Designing

Zirconia (Metal free) Crowns

Geriatric (Old age) Dentistry

Teeth Whitening

Sports Dentistry

OPG (Full mouth) X Ray

Preventive Dentistry

Jaw Joint Pain

Oral Cancer

Tooth coloured Filling

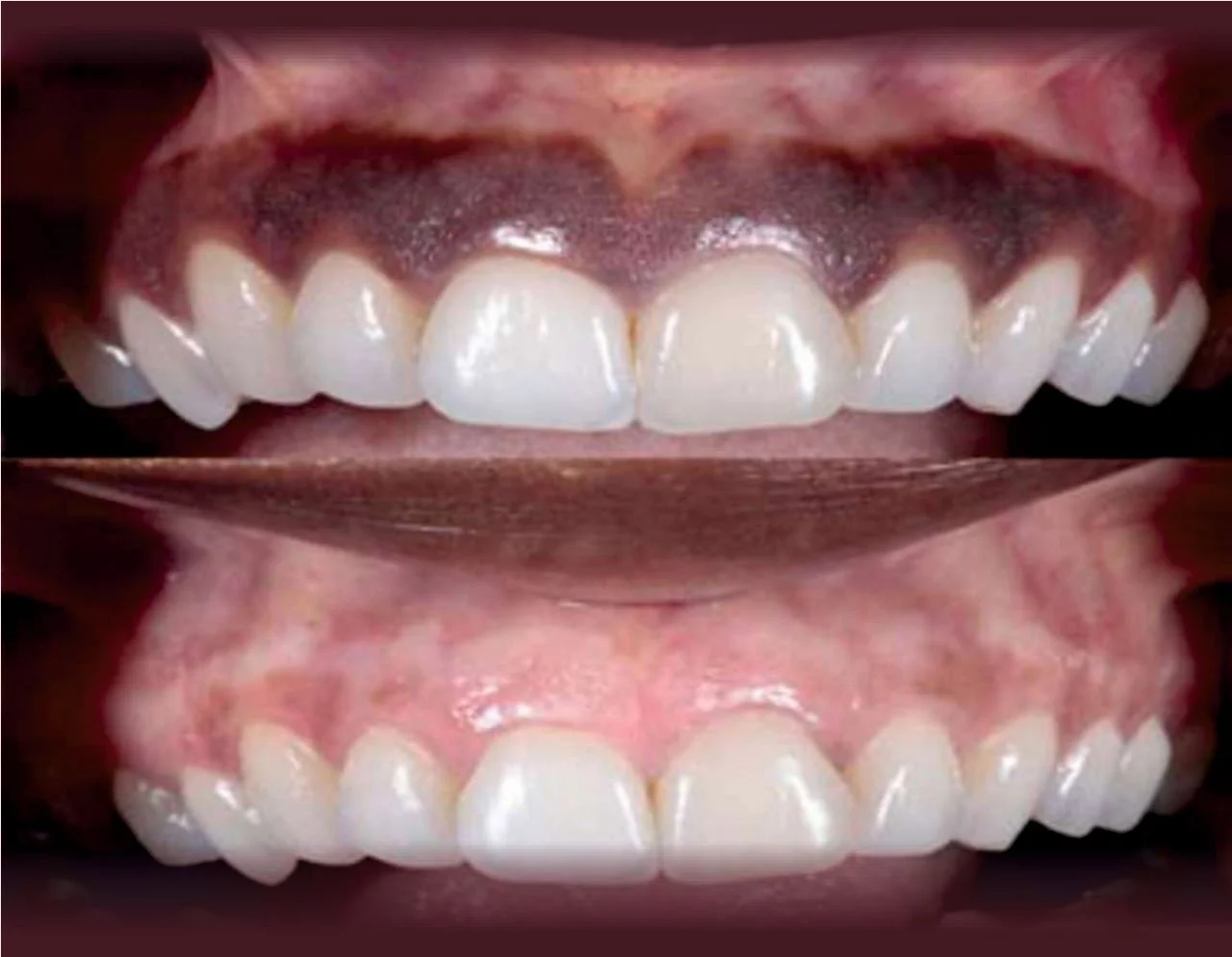
Gum Depigmentation
